医院资讯

健康科普

您的位置: 首页 > 医院资讯 > 健康科普 > 正文

饭后惊魂!“Y型”鱼骨深嵌食管紧贴主动脉,深圳医生胃镜巧取"夺命骨刺"!

发布日期:2025年08月18日 14:50    作者:     来源:     点击:

60岁的陈先生

怎么也没想到

一顿午饭差点

要了他的命!

近日,陈先生在享受午餐时不慎误吞了一根鱼骨,顿时感觉胸骨后传来一阵持续的疼痛。他尝试休息、喝水,但疼痛丝毫没有缓解。傍晚时分,他急忙前往深圳市罗湖区人民医院就诊。

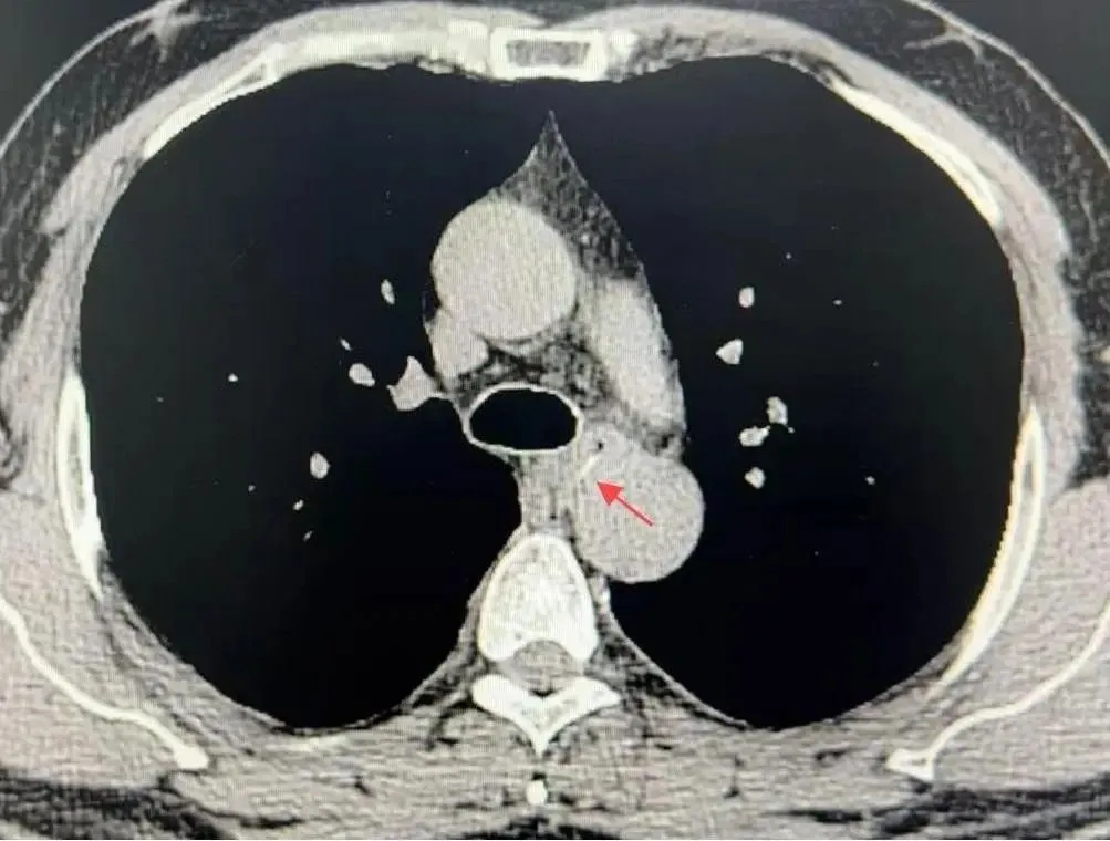
经过胸部CT检查,医生发现一根长约15毫米的鱼骨卡在了食管中段,而且鱼骨的尖端距离降段主动脉仅有4毫米,几乎就是一纸之隔(见图1)。

要知道,主动脉是人体内最粗大的动脉血管,一旦被刺破,血液就会像决堤的洪水一样涌入胸腔,患者可能在几分钟内就因失血过多而休克死亡。危险时刻,急诊科医生迅速邀请了消化科医生进行紧急会诊。

图1. CT显示鱼骨紧贴降主动脉

(红色箭头指示)

消化科医生脑海中浮现出以往食管异物刺破主动脉的惨痛案例。比如,不久前某三甲医院接诊了一位29岁的男子,他因鱼刺卡喉而尝试用喝醋、吞饭等土方法处理,结果次日呕血身亡。原来,那根鱼刺已经刺穿了食管和胸主动脉。这样的案例每年都有发生,据统计,约3%的食管异物患者会因为损伤大血管或感染而死亡。高危因素主要包括尖锐异物(如鱼骨)、拖延就医以及自行处理不当 (如吞饭、喝醋)。

生死营救:多学科协作下的精准操作

危机时刻,值班医生韦医生联系深圳市罗湖区人民医院消化科余细球主任,余主任要求与影像科、胸外科、介入科联合会诊,评估异物与主动脉的关系,以及消化内镜取出异物风险及补救方案。

01术前评估

01影像定位

医生联系了影像科医生,通过CT三维重建技术明确了鱼骨与主动脉的解剖关系。结果显示,鱼骨尖端与主动脉切线平行,并未刺破主动脉,同时鱼骨也未刺破食管。

02胸外科及介入科评估

鉴于鱼骨未刺破主动脉及食管,暂时无需外科手术取出异物或进行血管支架置入。但如果术中发现异物取出失败或有出血风险,将随时联系胸外科及介入科进行进一步处理。

03麻醉科评估

患者无麻醉禁忌症,可以耐受静脉麻醉下的内镜治疗。

04消化科专科评估

消化科值班医生韦医生将情况汇报给余细球主任后,余主任指示可以进行胃镜微创取出异物。但这一操作需要极其谨慎,因为任何吞咽动作或咳嗽都可能影响异物的滑动。医生充分告知了患者及家属手术的风险和必要性,并取得了他们的知情同意和信任。

02胃镜取出异物

01麻醉护航

在全身静脉麻醉下,患者的吞咽反射被抑制,避免了鱼骨移位的风险。

02内镜准备

医生评估异物为“Y型鱼骨”,一上一下地深深刺 入了食管的左、右侧壁(见图2.1、图2.2)。他们选择了合适的透明帽及异物钳进行操作。

03内镜下操作

在余主任的指导下,韦医生与配台护士李章恒密切配合,先游离了刺入较浅的一侧,再游离了较深的一侧,最后将“Y字形”鱼骨放入透明帽中,成功带出了口腔(见图2.3)。那一刻,这根离主动脉仅4毫米的夺命凶器“Y型鱼骨”终于被成功取出。

图2.1刺入食管鱼骨(红色箭头)

图2.2刺入食管鱼骨(红色箭头)

图2.3胃镜下成功取出鱼骨(红色箭头)

03术后监护

01医生密切监测患者的生命体征,警惕迟发性出血或感染的发生。

02患者在24小时内禁食,通过静脉营养支持,并逐步恢复流质饮食。

03经过72小时的监测,患者无发热、胸痛等症状,生命体征平稳,顺利办理了出院手续。

此次成功救治不仅体现了深圳市罗湖区人民医院消化科的专业实力,也再次提醒广大市民在面对异物卡喉等紧急情况时,一定要保持冷静,及时就医,切勿盲目自行处理。

专家警示:异物发生时三要三不要

三要

1. 立即禁食禁水:减少异物移动的风险。

2. 尽快就医:完善CT影像检查,明确异物位置。

3. 信任医生:配合内镜或外科治疗。

三不要

1. 不要吞饭、喝醋:这可能会加剧穿孔的风险。

2. 不要盲目催吐:这可能会划伤咽喉。

3. 不要拖延时间:24小时是救治的黄金窗口期。

异物损伤主动脉的隐蔽性与凶险性

症状隐匿:早期可能仅表现为胸痛或吞咽不适,容易被忽视。

瞬间致命:主动脉压力极高,一旦破裂出血量可达每分钟1000毫升。

救治难度大:需要多学科团队协作,死亡率高达30%-50%。

专家团队

科室概况

深圳市罗湖区人民消化内科附设消化内科住院部、门诊及消化内镜中心、国贸胃肠镜体检室等。现有医护人员59人,医生22人,护士37人。其中主任医师2人,副主任医师2人。博士2人,硕士18人。2008年成为罗湖区重点学科,科室技术力量雄厚。消化内科住院病床35张。年收治住院病人2500人次左右。消化内科门诊年门诊量5.4万余人次。

设备配置

消化内镜中心拥有富士9000、奥林巴斯290、宾得放大胃肠镜、超声内镜、双气囊小肠镜、电子十二指肠镜、近控床数字胃肠造影系统、全自动内镜消毒机等先进仪器设备。内镜中心年胃肠镜诊疗超3.5万人次,为深圳市最早开展无痛内镜及超声内镜、双气囊小肠镜、开展内镜诊疗技术最多单位之一。

技术优势

消化道早癌诊断及治疗、消化内镜微创治疗为我院消化内科的重点发展方向及优势技术。广泛开展了各种内镜下微创治疗包括:消化道大出血内镜止血、消化道支架置放术、逆行胰胆管造影术(ERCP)及相关技术、超声内镜引导穿刺术(EUS-FNA)、内镜下粘膜剥离术(ESD),食管胃底静脉曲张套扎及组织胶栓塞治疗、消化道早癌ESD、经口内镜食管下括约肌切开术(POEM)治疗贲门失迟缓症等,内镜黏膜下隧道肿物剥离术(STER)、内镜下阑尾治疗术(ERAT)、内镜下痔疮治疗术等,各种诊疗技术达到市内先进水平。

科研教学

消化内镜中心集医疗、教学、科研为一体,多次承担国家、省级、市级科研项目,多次成功举办国内、省内消化内镜技术学术会议,在同行被受关注。

联系电话

25650005转消化内科

 

 

 

来源:消化内科

编写:陈晨

编辑整理:罗医宣